Klebsiella Pneumoniae monoclonal antibody(1H3)
Source
Anti- Klebsiella Pneumoniae monoclonal Antibody,Mouse IgG is a Mouse monoclonal antibody expressed from Hybridoma.
Isotype
Mouse IgG
Conjugate
Unconjugated
Antibody Type
Mouse monoclonal antibody
Reactivity
Bacteria
Immunogen
Recombinant KPC protein
Specificity
This product is a specific antibody specifically reacts with KPC protein.
Purity
>95% as determined by SDS-PAGE.
Purification
Affinity purification Protein G
Formulation
Supplied as a 0.22 μm filtered solution of PBS, pH7.4
Application
Application Recommended Usage
ELISA Assay-dependent
WB —
Storage
This antibody can be stored at 2℃-8℃ for one month without detectable loss of activity. Antibody products are stable for twelve months from date of receipt when stored at -20℃ to -80℃. Preservative-Free. Avoid repeated freeze-thaw cycles.
Cross Verification
Test-in-process

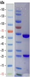
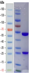
SDS-PAGE
M R

Klebsiella Pneumoniae monoclonal antibody on SDS-PAGE under reducing (R) condition.
The gel was stained with Coomassie Blue. The purity of the protein is greater than 95%
Bioactivity-ELISA
Immobilized Recombinant 
Klebsiella oxytoca Carbapenem-hydrolyzing beta-lactamase KPC protein (His Tag) ,at 1μg/mL (100 μL/well) . Binding activity of Klebsiella Pneumoniae monoclonal antibody.
Background
Klebsiella pneumoniae is the most important type of bacteria within the Enterobacteriaceae family of Kocuria species. The diseases it causes account for over 95% of infections caused by the Kocuria genus. It exists in the upper respiratory tract and the intestinal tract of the human body. When the body's resistance is weakened, it enters the lungs through the respiratory tract and causes consolidation of large or small lobes, with the upper lobes being more common.